UFO ile karşılaşan pilotların beyinleri incelendi
CIA'nın isteği üzerine UFO'larla karşılaştığını söyleyen pilotların beyinleri incelendi. Pilotların beyinlerini inceleyen Nolan, bazılarının beyinlerinin çok ciddi hasarlar aldığını söyledi.
15 Aralık 2021 - 16:54
ABD'deki Standford Üniversitesi'nden Patoloji Profesörü Garry Nolan, UFO'larla karşılaştığını söyleyen savaş pilotlarının beyinlerini CIA'in isteği üzerine incelediğini açıkladı.
Nolan, son 10 yılını ABD yönetiminin artık Tanımlanamayan Hava Olayı (UAP) diye nitelediği bu gizemli cisimlerle ilişkili olduğu öne sürülen materyalleri analiz ederek geçirdi.
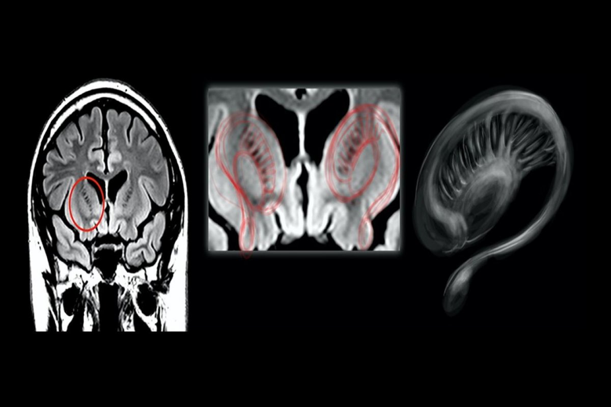
Bu analizler arasında UFO görüntülerini yayımlayarak gündeme oturan ABD'li savaş pilotlarının beyin taramaları da yer alıyordu.
VICE'a konuşan Nolan, "Bir sorun olduğunu görmeniz için tıp doktoru olmanıza gerek yoktu" dedi:
"Bazılarının beyinleri korkunç, korkunç derecede hasar görmüştü. Beni işe dahil eden şey de buydu."
Nolan bu çalışmaları sırasında çoğu ordu veya hükümet mensuplarından ya da havacılık endüstrisinde çalışan kişilerden oluşan yaklaşık 100 hastanın verilerini analiz etti.
Muhabir Thobey Champion'ın isteği üzerine bu kişilerin MR görüntülerini tarif eden profesör, "Multipl skleroz hastası birinin MR'ına baktıysanız, beyaz cevher hastalığı denen bir şey görürsünüz. Yara izi vardır." ifadelerini kullandı:
"MR boyunca dağılmış büyük beyaz bir leke veya birden fazla beyaz leke görürsünüz. Bu aslında bağışıklık sisteminin beyne saldırdığı ölü dokudur. Pilotların beyin görüntülerine en yakın durum buydu. Bir şeylerin yanlış olduğunu hızla görebilirsiniz."
Nolan şimdiye dek 300'den fazla araştırma makalesi yayımladı ve ABD yasaları uyarınca 40 patente sahip. Üstelik bu inceleme profesörün UFO'larla ilk ilişkisi değil.
Kaynak: Independent Türkçe
Nolan, son 10 yılını ABD yönetiminin artık Tanımlanamayan Hava Olayı (UAP) diye nitelediği bu gizemli cisimlerle ilişkili olduğu öne sürülen materyalleri analiz ederek geçirdi.
Bu analizler arasında UFO görüntülerini yayımlayarak gündeme oturan ABD'li savaş pilotlarının beyin taramaları da yer alıyordu.
VICE'a konuşan Nolan, "Bir sorun olduğunu görmeniz için tıp doktoru olmanıza gerek yoktu" dedi:
"Bazılarının beyinleri korkunç, korkunç derecede hasar görmüştü. Beni işe dahil eden şey de buydu."
Nolan bu çalışmaları sırasında çoğu ordu veya hükümet mensuplarından ya da havacılık endüstrisinde çalışan kişilerden oluşan yaklaşık 100 hastanın verilerini analiz etti.
Muhabir Thobey Champion'ın isteği üzerine bu kişilerin MR görüntülerini tarif eden profesör, "Multipl skleroz hastası birinin MR'ına baktıysanız, beyaz cevher hastalığı denen bir şey görürsünüz. Yara izi vardır." ifadelerini kullandı:
"MR boyunca dağılmış büyük beyaz bir leke veya birden fazla beyaz leke görürsünüz. Bu aslında bağışıklık sisteminin beyne saldırdığı ölü dokudur. Pilotların beyin görüntülerine en yakın durum buydu. Bir şeylerin yanlış olduğunu hızla görebilirsiniz."
Nolan şimdiye dek 300'den fazla araştırma makalesi yayımladı ve ABD yasaları uyarınca 40 patente sahip. Üstelik bu inceleme profesörün UFO'larla ilk ilişkisi değil.
Kaynak: Independent Türkçe







YORUMLAR