-
Avrupa "buzul dönemi" tehlikesiyle karşı karşıya -
Danimarka'daki Türk işçiye kraliyet madalyası -
Sağlık Bakanlığı 20 bin personel alacak -
Ubisoft, siber saldırıya uğradığını açıkladı -
Hindistan: "Yanlışlıkla Pakistan'a füze attık" -
Barcelona - Galatasaray maçı berabere bitti -
52 il için kar, sağanak ve fırtına uyarısı -
Uluslararası Deniz İstasyonu projesi: Proteus -
Felçli bireylere video oyun ile tedavi -
Milli kayakçı Arda İpcioğlu, Norveç'te finale kaldı -
Galatasaray, Barcelona ile karşı karşıya gelecek -
Ukrayna'dan birçok ürüne ihracat yasağı -
Bitcoin "ABD kararnamesi"yle yükselişte -
Nijerya'da Lassa ateşi 2 ayda 98 can aldı -
Stokçuluk yapanlar için cezalar ağırlaştırılacak -
Zorlu Enerji, 375 milyon dolarlık yatırım aldı -
Hazine 8,3 milyar lira borçlandı -
Benzine 1 lira 7 kuruş, Motorine 1 lira 59 kuruş zam -
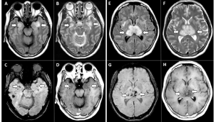
Covid-19 beynin küçülmesine neden oluyor -
80 ilde uyuşturucu operasyonları: 5654 gözaltı

